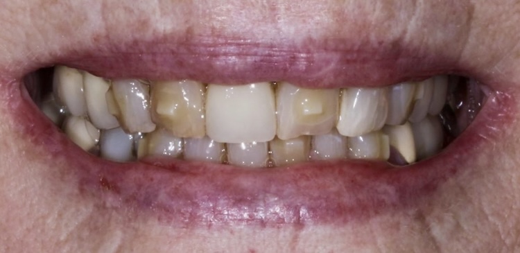
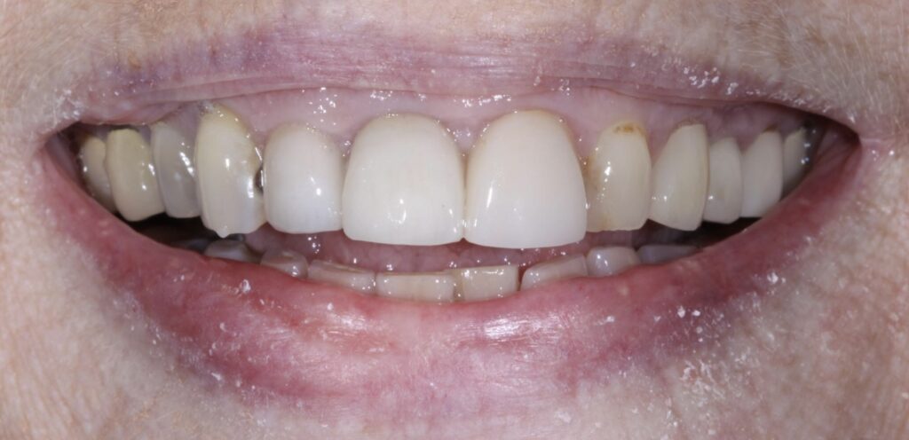
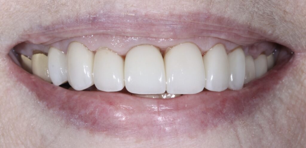
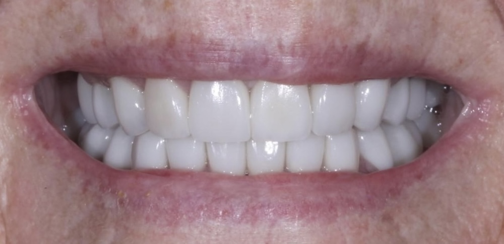
Patient 1:
Porcelain Veneers


Patient 2:
Upper and Lower Full Arch Implant


Patient 3:
Upper and Lower Full Arch Implant


Patient 4:
Upper and Lower Full Arch Implant


Patient 5:
Upper Full Arch Crowns


Patient 6:
Porcelain Veneers


Patient 7:
Upper and Lower Full Arch Crowns


Patient 8:
Upper and Lower Full Arch Implant


Patient 9:
Upper and Lower Full Arch Implant


Patient 10:
Full Arch Solution with 6 implants on top and 5 implants on the bottom.


Patient 11:
All porcelain veneers with cosmetic gum contouring


Patient 12:
All porcelain crowns and veneers


Patient 13:
Teeth whitening


Patient 14:
All porcelain bridges and crowns with cosmetic gum recontouring


Patient 15:
Mercury filling replacements as well as all porcelain crowns and veneers


Patient 16:
All porcelain crowns


Patient 17:
Porcelain crowns


Patient 18:
Porcelain crowns and veneers


Patient 19:
Porcelain crowns and veneers


Patient 20:
Crowns and veneers


Patient 21:
Upper Full Arch Implant

