
One of the first things people notice is your smile. If chips, discoloration, crooked teeth, and/or other smile imperfections are “hiding” the real you, cosmetic dentistry can often be an excellent solution. Customized to address everything from a single tooth-related aesthetic issue to the appearance of the entire smile, cosmetic dentistry can treat stains, gaps, chips, breaks, decay, excessive wear and tear, overcrowding, misalignments, and missing teeth—ultimately yielding a more youthful, attractive smile.
As leaders in the Bethesda-Chevy Chase dental community, our experienced cosmetic dentists—Dr. Deborah Klotz and Dr. Robert Schlossberg—have completed advanced aesthetic dental care training that extends beyond the basic concepts learned in dental school. At our practice, they combine modern techniques and materials with creative artistry for custom smile designs that can look, feel, and function completely naturally.
For more information about our cosmetic dentistry services and the level of care you can expect at Bethesda Sedation Dentistry, we invite you to read the sections provided on this page and/or contact us today to book an appointment. Dr. Rob and Dr. Deb would be honored to help you achieve your dream smile!
Explore Topics On This Page
Why Choose Our Cosmetic Dentists?
Selecting the right dentist for cosmetic dentistry is imperative to achieving natural-looking, long-lasting results. As previously mentioned, Dr. Rob and Dr. Deb have received extensive post-graduate training and remain up-to-date on the latest aesthetic dental techniques available today. In addition to possessing advanced cosmetic dental instruction and experience, our cosmetic dentists are highly trained and well-versed in various other areas of dentistry—including complex restorative dental care. This multidisciplinary proficiency is a key distinction among cosmetic dentistry providers, because the foundation of every beautiful smile is excellent oral wellness.
When completing cosmetic dental cases, Dr. Deb and Dr. Rob are always sure to evaluate the condition of the mouth alongside aesthetic issues to ensure there is a good base for an optimal cosmetic and functional outcome. This is not to say they will push for more treatments than needed or desired; but rather that, in the event an underlying issue such as tooth decay, gum disease, or jawbone deterioration is present, our cosmetic dentists can effectively identify and resolve the problem prior to moving forward with aesthetic care. Doing so can lead to cosmetic dentistry results that are superior in look, function, and longevity.
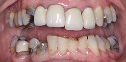
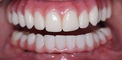
Of course, when all is said and done, Dr. Rob’s and Dr. Deb’s smile transformations truly speak for themselves. To get an idea of the type of results you can expect from our cosmetic dentists,
smile gallery to view before-and-after photos of the many patients who trusted Dr. Deb and Dr. Rob for their smile enhancement.
How Much Does Cosmetic Dentistry Cost?
The cost of cosmetic dentistry varies by individual, with factors such as the treatment(s) chosen and the overall complexity of care impacting total pricing. Additionally, it is important to understand that not all cosmetic dental care is created equal, which is quite often reflected in treatment expenses. In many cases, greater costs signify the use of higher-quality materials and technologies, as well as superior skill and experience of the cosmetic dentist.
To obtain a custom price quote for your cosmetic dental treatment(s) of interest, please schedule an appointment.
Additional Frequently Asked Questions About Cosmetic Dentistry
Does cosmetic dentistry only improve the appearance of my smile?
All cosmetic dentistry treatments performed by Dr. Deb and Dr. Rob are designed to enhance smile aesthetics while simultaneously improving oral health and function. As a result, your beautiful smile transformation will be built on a strong foundation of oral wellness for an optimal, enduring outcome.
Do all dental practices offer cosmetic dentistry?
These days, virtually every dental office offers at least one cosmetic dentistry service, be it dental bonding or teeth whitening. For this reason, it is incredibly important to look into the credentials and experience of the provider(s) you are considering, as not all have the same level of training, quality of results, or even standard of care. Researching a dentist’s educational background and accomplishments is always a good starting point, but also be sure to view before-and-after pictures and read patient reviews and testimonials to help you determine if the outcomes they have achieved and the care they seemingly provide meets your expectations.
How long will my cosmetic dental treatment take?
The exact answer to this question will depend on the specific cosmetic dentistry treatment(s) you receive, as well as whether or not any preliminary dental work is needed to first optimize your oral wellness. Generally speaking, however, treatments such as dental bonding and in-office teeth whitening can often be completed in a matter of hours; porcelain veneers typically take two to three visits; and dental implants usually require several months for the implant posts to fuse with the jawbone. On average, Invisalign® takes about nine months to a year.
Can sedation techniques be paired with cosmetic dentistry?
Absolutely! Our cosmetic dentists are also board-certified in sedation dentistry, enabling them to recommend and administer the most appropriate form of sedation for your particular case. Based on the complexity of your treatment and/or degree of your dental anxiety, Dr. Deb and Dr. Rob offer the choice of oral conscious sedation, IV sedation, or nitrous oxide (laughing gas).
Where can I find more before-and-after pictures of Dr. Rob’s and Dr. Deb’s cosmetic dentistry work?
In addition to visiting our website’s photo gallery, our cosmetic dentists can show you several smile transformations they have achieved for previous patients at the time of your appointment. This provides an excellent opportunity for you to discuss what you like or do not like about various smiles in-person with your dentist, enabling the two of you to be on the same page in regard to your smile enhancement desires.
Contact Bethesda Sedation Dentistry
A beautiful smile can brighten your life every day—both professionally and socially. Please contact Bethesda Sedation Dentistry today if you would like more information on our cosmetic dentistry procedures, or to schedule an appointment with one of our experienced cosmetic dentists.


